Un colega de Medellín Colombia envió estas imágenes con el siguiente texto:
Doctor Macaluso, quiero compartir con el grupo un caso
que vi en mi residencia en una pasantía corta por cirugía cardiovascular hace
ya varios años y del que lamentablemente no tengo mayores datos ni una historia
clínica completa. Recuerdo que era una paciente joven, ingresada debido a un
cuadro febril previo de un mes sin causa aparente, a lo que se asoció un
episodio de embolia periférica en un vaso pequeño de miembro superior que se resolvió
favorablemente en forma espontánea, pero que puso sobre la pista del problema de
base que resultó ser un mixoma auricular. Lo que le envío son las imágenes
macroscópicas de la cirugía así como la histología del tumor.
Opinión: Muchas gracias por compartir estas imágenes
tan interesantes.
Los mixomas son la neoplasia cardíaca primaria más
común. Histológicamente, estos tumores se componen de células dispersas dentro
de un estroma de mucopolisacáridos. Las células se originan a partir de un
mesénquima multipotente capaz de diferenciarse neural y endotelialmente. Los
mixomas producen factor de crecimiento endotelial vascular, que probablemente
contribuye a la inducción de la angiogénesis y a las primeras etapas del
crecimiento tumoral.
Macroscópicamente, los mixomas típicos son
pedunculados y de consistencia gelatinosa; la superficie puede ser lisa,
vellosa o friable. Los tumores varían ampliamente en tamaño, con un diámetro de
entre 1 y 15 cm y un peso de entre 15 y 180 g. Aproximadamente el 35 % de los
mixomas son friables o vellosos, y tienden a presentar émbolos. Los tumores de
mayor tamaño tienden a tener una superficie lisa y a asociarse con síntomas
cardiovasculares.
Presentación clínica: Las
manifestaciones cardiovasculares dependen de la localización anatómica del
tumor. Aproximadamente el 80 % de los mixomas se originan en la aurícula
izquierda, generalmente en la fosa oval, y la mayoría del resto se encuentra en
la aurícula derecha .
Además de sus efectos cardiovasculares, los pacientes
con mixomas frecuentemente presentan síntomas constitucionales (p. ej., pérdida
de peso, fiebre) y anormalidades de laboratorio que sugieren la presencia de
una enfermedad del tejido conectivo. Aunque la etiología de estos síntomas no
se comprende completamente, la producción de varias citocinas y factores de
crecimiento por el tumor puede contribuir a estas anormalidades clínicas y de
laboratorio.
Las frecuencias relativas de diferentes signos y
síntomas asociados con los mixomas auriculares izquierdos se ilustran mediante
una serie de 112 pacientes, 72 de los cuales eran mujeres:
Se presentaron síntomas cardiovasculares en el 67 %.
Con mayor frecuencia, estos se asemejaban a síntomas de obstrucción de la
válvula mitral y se asociaban frecuentemente con evidencia electrocardiográfica
de hipertrofia auricular izquierda. Si bien se encontraron anomalías
auscultatorias en el 64 %, el clásico "plop tumoral" solo se
identificó en el 15 %.
Se observó evidencia de embolización sistémica en el
29 % de los pacientes, y el 20 % presentó déficits neurológicos. A pesar de la
mayor frecuencia de mixomas en mujeres, los hombres presentaron mayor
probabilidad de presentar evidencia de embolización. En el caso de los mixomas,
la incidencia de embolización se asocia con tumores de menor tamaño (≤4,5 cm) y
más blandos.
Se observaron síntomas constitucionales (p. ej.,
fiebre, pérdida de peso) en el 34 % de los pacientes. Se observaron anomalías
de laboratorio (p. ej., anemia y aumento de la velocidad de sedimentación
globular, proteína C reactiva o niveles de globulina) en el 37 %, generalmente
en aquellos con síntomas sistémicos.
Otras grandes series de pacientes con mixomas también
han incluido un predominio de mujeres (60 a 70 por ciento) y han informado
incidencias similares de síntomas cardiovasculares, embólicos y
constitucionales.
La ubicación de los mixomas en la luz auricular
facilita su diagnóstico mediante ecocardiografía. La ecocardiografía
transesofágica (ETE) puede proporcionar una mejor visualización del tumor,
especialmente para identificar la presencia y la ubicación de un tallo.
Las imágenes de cardio-RMN del mixoma muestran una
masa móvil redonda, lisa y bien circunscrita, grande, unida al tabique
interauricular en la aurícula izquierda, con señal alta en imágenes T2, señal
isointensa en imágenes T1, captación mínima en imágenes T1 posgadolinio y
realce tardío heterogéneo de gadolinio (LGE; debido a la presencia de
componentes mixoides y fibrosos).
Macroscópicamente los mixomas tienen características
heterogéneas. La mayoría son polipoides, y raramente sésiles. Por lo general la
superficie externa es multilobulada, gris-blanquecina, amarilla o café, y de
consistencia gelatinosa/mixoide, frecuentemente mezclada con áreas
hemorrágicas. Pueden presentarse microcalcificaciones, que son más frecuentes
en los mixomas de la aurícula derecha y en ocasiones todo el tumor está
calcificado (mixomas petrificados). Su tamaño varía de unos cuantos milímetros
hasta 18cm de eje mayor, con un promedio de 5 a 6cm. El espécimen extirpado
suele presentarse adherido a fragmentos de músculo cardiaco, que corresponden
al sitio de su implantación. En ocasiones estos tumores pueden tener
configuración papilar con extensiones digitiformes, lo que los hace más
propensos a fragmentarse y a generar émbolos. Los MC con superficie de aspecto
papilar muestran síntesis aumentada de algunas metaloproteinasas de matriz
extracelular (MMP-MT1, MMP-2 y MMP-9), que se correlaciona con la acentuación
de la producción del estroma mixoide, y a esto es a lo que se ha atribuido el
aumento de riesgo de eventos embólicos en los MC.
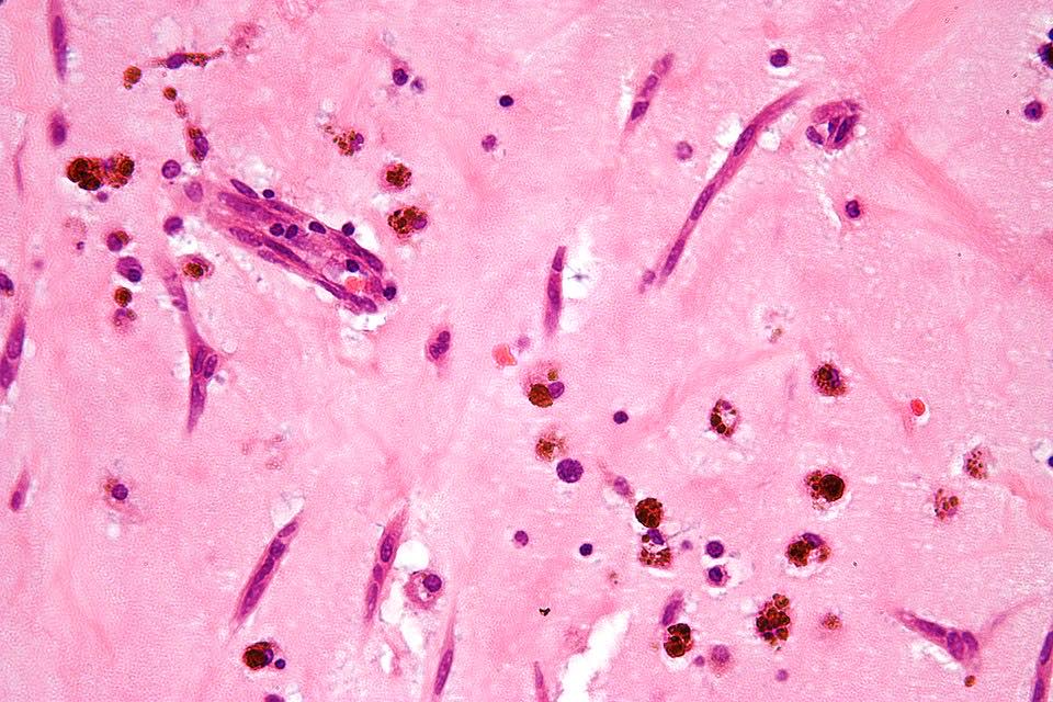
En cuanto a las características microscópicas, la
celularidad de los MC es muy variable, no solo entre especímenes, sino también
en partes diversas del mismo tumor. En unas áreas el tumor puede tener escasas
células tumorales inmersas en abundante matriz mixoide, y en otras, las células
pueden agruparse de tal manera que semejan un tumor epitelial13.
Histológicamente los MC están compuestos por 2 tipos principales de células;
las células estelares y las poliédricas, y ambas se encuentran incorporadas en
una extensa matriz mixoide amorfa con zonas de hemorragia. Las células
estelares son alargadas con núcleos redondos u ovales y citoplasma eosinófilo.
Las células poliédricas (también llamadas células lepídicas) tienen igualmente
un núcleo redondo u oval y variable cantidad de citoplasma eosinófilo y se
encuentran en forma aislada, o formando cordones celulares o agregados
circulares concéntricos alrededor de espacios pequeños simulando estructuras
glandulares. Estas células también pueden agregarse alrededor de vasos formando
«manguillos perivasculares» infiltrados frecuentemente por linfocitos.
Ocasionalmente se pueden encontrar algunas células tumorales gigantes
multinucleadas. Estos tumores presentan muy escaso pleomorfismo y las mitosis
son raras al igual que la necrosis. En el entorno celular se pueden identificar
un número variable de linfocitos, eritrocitos, macrófagos, células cebadas,
células dendríticas, células plasmáticas, fibroblastos y células de músculo
liso aisladas. Es constante la presencia de hemosiderina dentro de macrófagos
depositada en forma dispersa que se hace más evidente mediante la tinción de Perls
o azul de Prusia. Otros hallazgos histológicos que pueden estar presentes son
fibrosis variable, cuerpos de Gamna-Gandy, hematopoyesis extramedular,
calcificaciones, cartílago hialino, formación de hueso metaplásico y restos
tímicos (ha sido informado desarrollo de timomas posiblemente originados de
estos restos tímicos). Los infiltrados linfoides son frecuentes (raramente con
formación de centros germinales) con distribución difusa y principalmente
alrededor de las estructuras seudovasculares.
La matriz mixoide, que da el nombre a estos tumores,
muestra un leve tinte basófilo con hematoxilina y eosina, dada por la presencia
de abundantes proteoglicanos unidos a cadenas de glucosaminoglicanos, como
condroitina sulfato y ácido hialurónico, que son positivas con la tinción de
hierro coloidal de Halle, y con azul alciano a pH 2.5, y es positivo débil a la
tinción de ácido peryódico Schiff13,20. Además, la matriz contiene cantidades
variables de elastina, fibrinógeno, fibrina y colágena. Ocasionalmente (1-5% de
los casos), se puede identificar un componente glandular dentro del estroma
mixoide (mixomas glandulares). Estas glándulas son heterogéneas en su
composición, y pueden ser desde glándulas con contornos ovalados y delineadas
por células cilíndricas con núcleos de mediano tamaño y membranas nucleares
regulares, hasta glándulas con contornos angulados y arquitectura cribiforme
con presencia de células caliciformes positivas a la tinción de ácido peryódico
Schiff. Algunos informes refieren la presencia de atipia regenerativa de estas
estructuras glandulares e incluso datos citológicos de malignidad, con la
presencia de mitosis, atipia acentuada y expresión nuclear de p5317. Siempre
que estas estructuras glandulares son halladas en un MC, es indispensable
descartar la posibilidad de un adenocarcinoma metastásico a corazón. El
comportamiento clínico de los mixomas con estructuras glandulares no difiere de
los mixomas no glandulares.
Tratamiento y pronóstico — Una vez realizado el diagnóstico presuntivo de mixoma mediante estudios de imagen, se requiere una resección rápida después de una evaluación preoperatoria de rutina debido al riesgo de embolización o complicaciones cardiovasculares, incluida la muerte súbita. Los resultados de la resección quirúrgica son generalmente muy buenos, y la mayoría de las series informan una tasa de mortalidad operatoria inferior al 5 por ciento. El autotrasplante cardíaco (con reconstrucción auricular) o el trasplante son opciones potenciales para el tratamiento del mixoma auricular recurrente.
La recuperación postoperatoria suele ser rápida. Sin embargo, en una serie, se observaron arritmias auriculares o anomalías de la conducción auriculoventricular en el 26 % de los pacientes postoperatorios. Además, los pacientes corren el riesgo de recurrencia del mixoma, que puede ocurrir en el 2 % al 5 % de los casos, o de desarrollar lesiones adicionales. La recurrencia es más frecuente en pacientes cuyo tumor primario fue multicéntrico. El desarrollo de un segundo mixoma primario puede ser más frecuente en pacientes con antecedentes familiares de mixoma.
FUENTE: UPTODATE 2025
ARCHIVOS DE CARDIOLOGÍA DE MÉXICO.






No hay comentarios:
Publicar un comentario