EL RINCÓN DE LA MEDICINA INTERNA. juanpedromacaluso@yahoo.com.ar

Espacio virtual creado para discutir casos clínicos, actualizar temas y comentar inquietudes relacionadas con la práctica de la Medicina Interna

lunes, 4 de diciembre de 2023

Casos Clínicos: Varón de 67 años con hemoptisis.

›
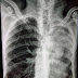
Buenas noches colegas les comparto la siguiente imagen. Paciente de 67 años cursando desde hace 1 mes con tos seca persistente, y los últi...
domingo, 3 de diciembre de 2023

Hidrocistoma apocrino.

›
Los hidrocistomas apocrinos (HA) son tumores quísticos benignos de las glándulas secretoras apocrinas. Los hidrocistomas apocrinos (HA) ap...
sábado, 2 de diciembre de 2023

Casos Clínicos: Varón de 21 años con rash cutáneo predominantemente facial y síntomas sistémicos.

›
  Dr macaluso, buenas noches, soy manuel Montellanos, médico internista de Perú.   quería saber si podría apoyarme con un caso. Joven ...
viernes, 1 de diciembre de 2023

Casos Clínicos: Varón de 40 años con lesiones proliferativas en pierna derecha

›
Paciente masculino de 40 años acude a la consulta de dermatología presentando estas lesiones en pierna derecha.   ¿Probable diagnóstico?...
jueves, 30 de noviembre de 2023

Casos Clínicos: Mujer de 40 años con opacidad corneal 5 horas después de una rinoplastia.

›
Buen día Dr,   una consulta, ¿podría ayudarme?   tengo una paciente que se realizó una rinoseptoplastia más turbinoplastia y refiere que not...
miércoles, 29 de noviembre de 2023

Intensive Review of Internal Medicine: Enfermedades del Pericardio.

›
El pericardio es un saco de dos capas que rodea el corazón. Está compuesto por una capa fibrosa rígida externa (el pericardio parietal) y un...
‹
›
Inicio
Ver versión web

Datos personales

Juan Pedro Macaluso
Ver todo mi perfil
Con la tecnología de Blogger.